
透明なマウスピースを使ったマウスピース矯正は、今までのワイヤーを使った矯正治療とは異なり『透明で目立たない』『取り外しが可能』『痛みが少ない』という特徴のある矯正治療法です。
マウスピース矯正の中にも種類や治療内容に違いが有りますが、リボン歯科・矯正歯科グループではインビザライン矯正治療を行なっており、日本で初めて年間症例数3,000件を超え※1ました。スタッフは研修や勉強会を重ねて最新の動向も踏まえた上で治療をさせていただいております。
※1 2020年9月~2021年8月 インビザライン・ジャパン株式会社(旧アライン・テクノロジー社)調べ

インビザラインには、12のランクが設定されています。当院は最上位の「パープル ダイヤモンド」を取得。

さらに、アジアオセアニア地区の症例数トップ医院として当グループ医院が「Invisalign Lifetime Achievement Award ※2」を受賞しました。
※2 インビザライン・ジャパン株式会社(旧アライン・テクノロジー社)による症例数アジアオセアニア地区トップの功労賞として2022年10月に表彰されました。また2025年8月にも、インビザラインが16,000件を超えたことにより表彰されました。
インビザラインドクター対象に講演を行う専門医としてFacultyにも認定されました。専門性と技術を高めて、より良い治療を目指して参ります。
矯正装置が目立つのが気になる
仕事や学校などで人前に出る機会が多い
食事や歯磨きを普段通りに行いたい
金属アレルギーが心配
痛みや違和感が少ない矯正治療を希望
忙しくて頻繁に通院が難しい
前歯で食べ物をかみ切れない
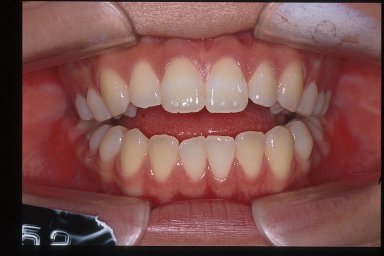
表側からの矯正正 面
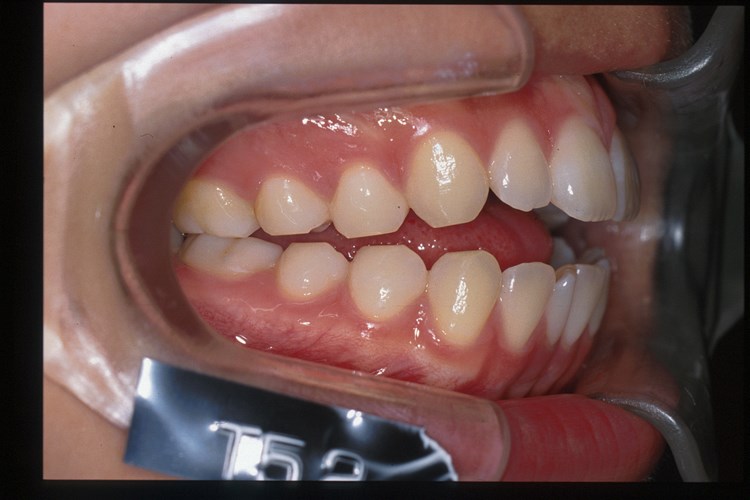
Before
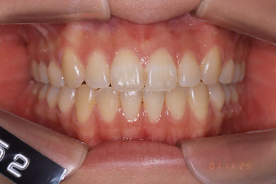
After右側貌
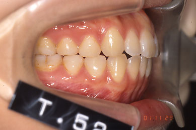
Before
Afterリボン歯科・矯正歯科グループは、インビザライン矯正の高精度、スピーディ、快適な治療の為にiTero(口腔内スキャナ)をグループで18台導入しております。
iTero (口腔内スキャナ)とは、口腔内をコンピューターに取り込むことが可能な、3Dスキャニング装置です。
従来では、シリコン印象材で歯型を採ってましたが、iTeroでは、シリコンの匂いや時間などを気にする必要がなく、より精度の高い歯型を採ることができます。
iTero(口腔内スキャナ)は、デジタルスキャニングによって精密な歯型データの取得でき口腔内データをパソコン上で確認、治療計画・シュミレーションを行う事が出来ます。
従来は、歯型をアメリカ工場へ空輸、その後シュミレーションを作成まで約1か月程度必要としていましたが、 iTeroではデータの送付により、時間を大幅に短縮する事が可能となりました。
デジタルスキャニングによって、従来のシリコン素材の歯型取りの不快感が軽減されます。 口汚れ、嘔吐反射も起きずらいため快適になります。

リボン歯科・矯正歯科グループは、矯正治療を行う前や治療途中に、保険治療などの処置が必要な場合も、他の歯科医院に通う事なく、ワンストップで治療することが出来ます。
リボン歯科・矯正歯科グループは、インビザラインにおいて年間症例数が3,000件を超えました。12ランクでトップの証である「パープル ダイヤモンド※2」を獲得。
※2 インビザライン・ジャパン株式会社(旧アライン・テクノロジー社)が評価する12ランク中のトップランク年間1,500症例以上の実績医院に与えられる称号です。
※3 2020年9月~2021年8月 インビザライン・ジャパン株式会社(旧アライン・テクノロジー社)調べ
矯正治療には、スピード矯正、マウスピース矯正、裏側矯正、ワイヤー矯正など、複数の方法があります。
リボン歯科・矯正歯科グループは、27,000症例※を超える実績から、患者さまに合った矯正治療をご提案させて頂きます。
※2002年6月~2025年12月
リボン歯科・矯正歯科グループでは、グループ内外の歯科医師が集まり、症例検討会や技術セミナーを開催し、医療技術を共有しています。全国16の医院(関東9医院、仙台1医院、関西3医院、中部2医院、九州1医院)により、関東、関西での引越しの際でも、転院して治療を継続することが出来ます。
リボン歯科・矯正歯科グループは、歯科用CT、口腔内スキャナー、キャディアックス下顎運動測定装置、インプラント光機能化紫外線照射器など、充実した設備を完備し、訓練を重ねた矯正医による、様々な症例に対応できる環境を整えております。
マウスピース矯正は、患者さまご自身で装置を脱着して頂くため、経験の少ない医院で、患者さま任せによる治療トラブルが非常に増えています。
リボン歯科・矯正歯科グループでは、治療完了まで定期治療管理システムを整えています。
口腔内3Dカメラにより、精度の向上、時間の短縮、不快感の減少が可能になります。
スキャンした口腔内データは3Dで再現され、パソコン上で治療計画・シミュレーションを行う事ができます。










当医院では治療に際して下記の料金を申し受けることになっております。よくお読みになり、ご不明な点についてはお問い合わせ下さい。
以下の検査をもとに治療計画(治療期間、使用する装置、費用等)を決定し、ご説明します。
歯科用CT撮影、口腔内3D撮影、顔貌3D撮影、口の中の現在の状況を確認します。
顎の関節の状態を詳しく、コンピューターを用いて検査をします。それにより、顎関節症や体のバランスを調べることができます。
上下顎の全顎矯正
追加作成回数アカウント内3回。
追加作成回数アカウント内無制限。
マウスピース以外の装置を併用する方法で、複雑な症例に対しても治療が可能です。
歯肉に特殊な光を当てることで骨を活性化させ、歯の移動を早くする装置です。1枚のアライナーの必要装着日数を4~5日交換にすることができます。
毎回来院時にお支払願います。
治療終了後、歯並びを安定させ、2年間の使用が必要な装置です。
※抜歯、あるいは矯正期間中に生じた虫歯などに対する治療費は上記に含まれていません。
※当料金表の価格は全て税込価格です。
※2024年1月より上記に料金改定いたします。
※提携医院については、各医院ページの費用をご確認ください。